China-中文
首页
关于超星
关于超星
产品与服务
放射设备
立位CT 128 Standing
X射线计算机断层扫描系统
诊断X射线成像系统
超声设备
台式彩色多普勒超声诊断系统
便携式彩色多普勒超声
掌上超声
宠物设备
宠物 CT
宠物 超声
宠物 DR
医疗信息化解决方案
智慧医院
医共体平台
集团化医院
新闻与资讯
超星发布
客户故事
活动中心
星门创新
前瞻探索
科技匠心
招贤纳士
社会招聘
校园招聘
联系我们
China-中文
Global-English
China-中文
Japan-日本語
EU-English
Poland-Polski
USA-English
宠物 CT
宠物 CT采用了目前世界上最先进的定制硬件集成,球管采用瓦里安公司最新高效率具备独家定制技术的 “电子黑洞”镍铜合金金属球管 -- (钨铼合金阳极靶面,寿命更长久)(电子黑洞技术,抑制散射线图像更清晰)。每天检查 150-200 人以上。独特的微晶探测器技术(X 线利用率最高)、具备魔幻剂量输出的智能高压技术等等众多先进技术于一身,转为宠物设计,扫描速度快,适合宠物多动等特点。
多彩 CT
专业的宠物界面
超大视野建像
宠物转用影像处理技术
内耳
多彩 CT 转为宠物设计
多种色彩可以选择,世界独有专利 “0.275”薄层扫描技术。 目前世界上最薄的扫描层厚只能做到0.5mm,而层厚越薄,对比分辨率越高,看到的细节也越清晰,该32层CT做到了目前极致的 0.275mm 超薄层厚扫描
多种色彩可以选择
肺小结节分析:可以分辨最小 2mm 以下早期肺小结节,可以对早发的肺肿瘤及时发现,提高治愈率
临床上最常见病历:对新冠肺炎,炎症侵润节段高清显示,肺炎发展程度分级,细微病灶显示
专业的宠物界面设计
专门为宠物设计的操作界面
动物登记界面,独有特色包含主人姓名,动物是否绝育、物种选择及近千种的品种选择等
低剂量保护宠物健康
更低剂量,更多安心
宠物专用扫描协议
丰富的动物扫描协议
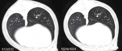
超大视野建像
1024*1024超大视野,独家的 60KV 低剂量扫描技术,普通CT普遍采用80KV低剂量技术
对婴宠物扫描,重要器官保护作用
体检肺部低剂量扫描, 筛查对患者都有巨大保护作用
也可以降低医护人员的长期散射线的余辉辐射,延长球管使用寿命
宠物转用影像处理技术
VR皮肤显示界面
• 皮肤通透
VR骨骼显示界面
• 骨骼轮廓清晰
MIP显示界面
• 剥离完整
宠物专用CT特点
超大容量球管
高功率球管+高效能高压 充分满足高密度诊断
急速扫描
按下扫描按钮 “零等待”快速扫描
智能多档高压扫描
80kV/100kV/120kV/140kV
超长Z向扫描覆盖
Z向17.6mm
产品与服务
HIS
EMR
LIS
PACS
集成平台
医共体
专业应用系统
公司
关于
招贤纳士
新闻
留言
法律
访问声明
道德合规
个人信息保护政策
使用条款
联系
上海市闵行区申虹路1088弄南区17号楼五层
TEL:400-867-5208
TEL:+86(21)5988 2099
Copyright © 2023 上海超星医疗科技有限公司 版权所有 |
沪ICP备2024049098号-1