China-中文
首页
关于超星
关于超星
产品与服务
放射设备
立位CT 128 Standing
X射线计算机断层扫描系统
诊断X射线成像系统
超声设备
台式彩色多普勒超声诊断系统
便携式彩色多普勒超声
掌上超声
宠物设备
宠物 CT
宠物 超声
宠物 DR
医疗信息化解决方案
智慧医院
医共体平台
集团化医院
新闻与资讯
超星发布
客户故事
活动中心
星门创新
前瞻探索
科技匠心
招贤纳士
社会招聘
校园招聘
联系我们
China-中文
Global-English
China-中文
Japan-日本語
EU-English
Poland-Polski
USA-English
32 层影像高清 CT
这款 32 层 CT采用了目前世界上最先进的定制硬件集成,球管采用瓦里安公司最新高效率具备独家定制技术的 “电子黑洞”镍铜合金金属球管 -- (钨铼合金阳极靶面,寿命更长久)(电子黑洞技术,抑制散射线图像更清晰)。每天检查 150-200 人以上。独特的微晶探测器技术(X 线利用率最高)、具备魔幻剂量输出的智能高压技术等等众多先进技术于一身
微视距扫描技术
技术要点
低剂量扫描技术
完美的图像质量
内耳
微视距扫描技术
世界独有专利 “0.275”薄层扫描技术。 目前世界上最薄的扫描层厚只能做到0.5mm,而层厚越薄,对比分辨率越高,看到的细节也越清晰,该32层CT做到了目前极致的 0.275mm 超薄层厚扫描
扫描层厚最薄
肺小结节分析:可以分辨最小 2mm 以下早期肺小结节,可以对早发的肺肿瘤及时发现,提高治愈率
临床上最常见病历:对新冠肺炎,炎症侵润节段高清显示,肺炎发展程度分级,细微病灶显示
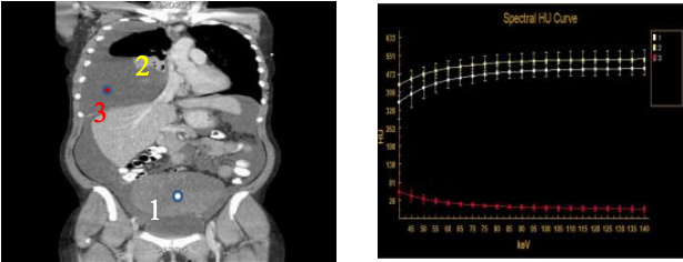
能谱功能分析
肾输尿管膀胱结石
不同的结石成分,可以采用不同的治疗方法。传统治疗方法是在没有取出结石以前是没有办法鉴定结石的成分的,不知道具体的治疗方案,有了能谱就可以在没有取出结石之前就可以知道结石的成分了。 知道了成分,就可以给临床医生治疗提供最适合的治疗方案
肿瘤的同源性鉴别
如果发现一个人体内两个不同器官上分别发现两个肿瘤,我们首先需要区分的是这两个肿瘤到底是其中一个转移给另一个的(同源性转移瘤)。还是这两个器官分别长的不同肿瘤(原发瘤), 能谱扫描可以发现两个不同器官上的两个不同的肿瘤成分是否一致
痛风检查
能谱扫描可以及时发现尿酸结石附着。 能谱分析可以确定痛风结节成分,可以指导临床采用保守治疗还是手术治疗。
低剂量扫描技术
独家的 60KV 低剂量扫描技术,普通CT普遍采用80KV低剂量技术
对婴幼儿扫描,重要器官保护作用
体检肺部低剂量扫描, 筛查对患者都有巨大保护作用
也可以降低医护人员的长期散射线的余辉辐射,延长球管使用寿命
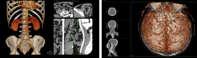
完美的图像质量
头部三维
• 剥离彻底,纤毫毕现
脊椎三维
• 信息丰富,利于诊断
肾部三维
• 图像高清,形体完整
内耳检查
内耳畸形
如Mondini畸形(耳蜗发育不全)、大前庭导水管综合征等,是儿童感音神经性聋的重要病因。CT可明确畸形类型,为人工耳蜗植入提供关键解剖依据
胆脂瘤或中耳炎累及内耳
慢性中耳炎或胆脂瘤可能侵蚀内耳结构,导致眩晕、听力骤降。CT能判断骨质破坏范围,评估是否出现瘘管(如半规管瘘
颞骨骨折
头部外伤后,横行骨折易损伤耳蜗、前庭,导致感音神经性聋。CT是诊断骨折线走向及内耳受累的金标准
听神经瘤等占位性病变
虽MRI更优,但CT可显示内听道是否扩大、骨壁是否破坏,作为初步筛查手段
整机标配能谱功能
物质分离与成分分析
能谱CT可区分组织中的水、碘、钙、尿酸盐等不同成分。例如,在痛风患者中,能将尿酸盐结晶特异性标记为绿色,钙化灶标为紫色,实现分子级显影,有助于早期发现和疗效监
单能量成像:优化图像质量
可生成40–140 keV范围内的虚拟单能量图像。低能量(如40–70 keV)可增强对比度,利于小病灶检出;高能量(如100–140 keV)则可有效去除金属伪影,提升图像清晰度
能谱曲线分析:辅助良恶性鉴别
每种组织都有独特的“能谱指纹”。通过分析病灶在不同能量下的CT值变化曲线,可辅助判断肿瘤来源、良恶性及分级。例如,恶性肿瘤常表现为陡峭的能谱曲线,而良性病灶则趋于平缓
产品与服务
HIS
EMR
LIS
PACS
集成平台
医共体
专业应用系统
公司
关于
招贤纳士
新闻
留言
法律
访问声明
道德合规
个人信息保护政策
使用条款
联系
上海市闵行区申虹路1088弄南区17号楼五层
TEL:400-867-5208
TEL:+86(21)5988 2099
Copyright © 2023 上海超星医疗科技有限公司 版权所有 |
沪ICP备2024049098号-1