China-中文
首页
关于超星
关于超星
产品与服务
放射设备
立位CT 128 Standing
X射线计算机断层扫描系统
诊断X射线成像系统
超声设备
台式彩色多普勒超声诊断系统
便携式彩色多普勒超声
掌上超声
宠物设备
宠物 CT
宠物 超声
宠物 DR
医疗信息化解决方案
智慧医院
医共体平台
集团化医院
新闻与资讯
超星发布
客户故事
活动中心
星门创新
前瞻探索
科技匠心
招贤纳士
社会招聘
校园招聘
联系我们
China-中文
Global-English
China-中文
Japan-日本語
EU-English
Poland-Polski
USA-English
DR 诊断X射线成像系统
当前DR市场虽然品牌众多、品种多样,但您可能 很难选出一款适合的DR产品,对产品质量、性能、支出与回报三方面的平衡很难满意,这是我们从大量医疗 机构管理者与放射科一线工作人员那里获得的信息。基于这些因素,我们最终决定推出一款并不花哨,也可 以说回归质朴的产品,这就是极高性价比的新一代 DR
微视距扫描技术
技术要点
影像处理技术
影像智能调节
影像与名片
DR技术
我们希望最新款 DR 是一个影像细腻、质量可靠、价值能体现在实际应用中的产品,同时也会在这个产品上提供更 多的影像诊断方面的协助,更利于基层医院和民营医疗机构解决影像诊断难题,所以也许该最新款 DR 就是最适合您 的那一款
广与微
更大尺寸的成像范围, 形成更多的影像像素矩阵,易于涵盖拍摄部位的周围组织;
更大的图像矩阵 由数以千万计的微小像素单元构成, 提供给临床应用更清晰的影像。
高清影像
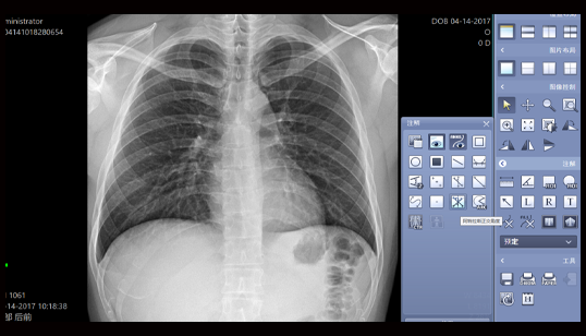
胸片不同尺寸对比
影像清晰,细节突出,无伪影
头颈正位片
灰阶对比突出,细节丰富
胸腰椎正位片
结构清晰,透视准确
影像处理技术
图像智能白平衡功能
自动组织均衡技术
自动虚拟电离室技术
超精细细节显示
影像智能调节
多角度测量
• 多种测量工具
影像操作
• 黑白反转图像、图像旋转、图像比较
无损处理
• 局部游走放大功能
影像与名片
成像速度快
曝光后数秒内即可生成数字图像,最快仅需3秒,适合急诊和大规模筛查
图像分辨率高
空间分辨率可达5线对/毫米,密度分辨率优于传统胶片,能清晰显示骨结构、关节软骨及软组织细节
辐射剂量低
相比传统X光机,辐射剂量降低30%–70%,单次胸片剂量约为0.02–0.1 mSv
支持后期处理
可调节窗宽窗位、对比度、亮度,进行图像放大、测量、拼接、三维重建等操作
飞跃与精研
全进口核心配件
日本东芝原装进口球管;
韩国原装进口平板; 软件与探测器使用同一品牌,保障一致性
一体化设计
系统整体设计,精密的工艺流程,让操作更简便,高级功能更全面。
运动装置灵活
轻松完成不同情况场景下的复杂部位拍摄, 得益于运动装置的灵活与全覆盖。
产品与服务
HIS
EMR
LIS
PACS
集成平台
医共体
专业应用系统
公司
关于
招贤纳士
新闻
留言
法律
访问声明
道德合规
个人信息保护政策
使用条款
联系
上海市闵行区申虹路1088弄南区17号楼五层
TEL:400-867-5208
TEL:+86(21)5988 2099
Copyright © 2023 上海超星医疗科技有限公司 版权所有 |
沪ICP备2024049098号-1