China-中文
首页
关于超星
关于超星
产品与服务
全系列台式超声彩色多普勒诊断仪
Insight 37C 彩色多普勒超声
全系列便携超声彩色多普勒诊断仪
Cloud系列云超
全系列掌上超声彩色多普勒诊断仪
Lite 系列掌超
BVS 超声膀胱容积测量仪
BVS系列膀胱容积测量仪
新闻与资讯
超星发布
客户故事
活动中心
星门创新
科技匠心
招贤纳士
社会招聘
校园招聘
联系我们
China-中文
Global-English
China-中文
Japan-日本語
EU-English
Poland-Polski
USA-English
Cloud-V7便携式彩色多普勒
Cloud-V7便携式彩色多普勒
Cloud-V7便携式彩色多普勒
图像表现
技术特点
Cloud-V7便携式彩色多普勒
Cloud-V7主要应用场景:腹部、妇产。典型应用于:尿道三维重建,血管斑块三维重建,高血脂沉积斑块三维重建。
技术核心
同价位品质最优 • 配置 64信号通道、128阵元基数探头、图像品质在同价位产品中竞争力明显。
同品质重量最轻 • 主机产品重量约1200g、重新定义便携超的便携性。
丰富的探头可选 • 低配推荐(线、凸)两⽀探头, 中配推荐(线、凸、⼼、⾼频)四⽀探头 ⾼配推荐五支探头全配。
持续的产品续航 • 支持Type-C 直流供电模式24小时全天候续航使用,内置6000mAh电池 2小时无电源续航使用模式。
轻松的消毒灭菌 • 探头支持IPX7 防水等级,支持浸泡法或擦拭法消毒灭菌,支持无菌套透声使用。
免费的远程医疗 • 独家3-Channel 通讯技术,免费支持的5G远程异步问诊或同步问诊服务
AI的高级功能 •面向临床超声应用,拥有多项人工智能AI技术
图像表现
臂丛神经
探头类型:线阵探头。典型场景:血管、小器官。
甲状腺短轴
阵元基数:128。信号通道:64。
甲状腺长轴血流
中心频率:7.1 MHz。带宽范围:5-12MHz。
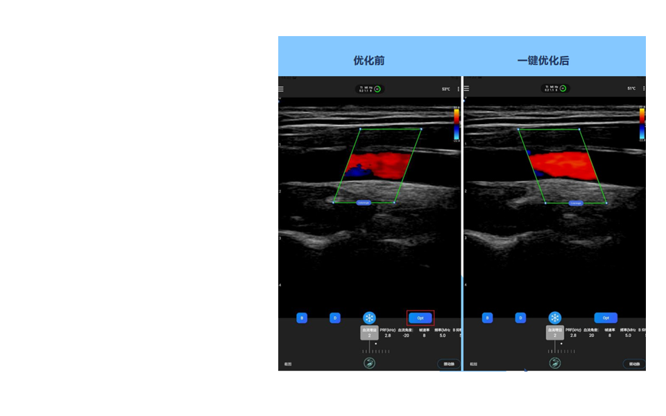
C模式的血流自动角度与位置识别AI一键优化功能
技术特点
方便C模式参数调节,减少用户调节角度与位置的复杂操作,AI会自动找到血管,进行角度与位置的调节。当进入C模式时,AI会自动调整C模式ROI到最佳位置,换言之,只要B模式打好血管,C 模式基本无需再调整角度与位置, AI会自动给出最佳选择。
当血管切面发生变化,点击Opt(Optimal)AI一键优化按键,AI会自动找到当前切面下,最佳的血流角度与位置,帮助用户免去繁复操作,获得最佳血流状态。
D模式模式角度、位置、采样容积AI自动一键优化调节
技术特点
进入D-ready模式时,AI会自动找到最佳D模式入射角度,采样门(Gate)的最佳位置,以及修正角度(Steer Angle)。 如果调整了的血管的位置与角度,点击 Opt一键优化按键, AI会自动调整Dready 模式下,采样门位置以及修正角度,帮助用户计算准确的血流速度。
如果需要进入流量计算,请在当前切面下保持,多次点击Opt 一键优化按键,则AI会默认在流量计算与普通速度计算之间进行切换,改变采样门大小,从全部血管大小改变为默认采样门大小。
注意,流量测量必须使用采样门为全部血管大小,如左中间图所示;不佳的血流角度(超过60°),会引起测量误差。
产品与服务
HIS
EMR
LIS
PACS
集成平台
医共体
专业应用系统
公司
关于
招贤纳士
新闻
留言
法律
访问声明
道德合规
个人信息保护政策
使用条款
联系
上海市青浦区诸光路1588弄虹桥世界中心LIA二层
TEL:400-867-5208
TEL:+86(21)5988 2099
Copyright © 2023 上海超星软件科技有限公司 版权所有 |
沪ICP备2024049098号-1