China-中文
首页
关于超星
关于超星
产品与服务
放射设备
立位CT 128 Standing
X射线计算机断层扫描系统
诊断X射线成像系统
超声设备
台式彩色多普勒超声诊断系统
便携式彩色多普勒超声
掌上超声
宠物设备
宠物 CT
宠物 超声
宠物 DR
医疗信息化解决方案
智慧医院
医共体平台
集团化医院
新闻与资讯
超星发布
客户故事
活动中心
星门创新
前瞻探索
科技匠心
招贤纳士
社会招聘
校园招聘
联系我们
China-中文
Global-English
China-中文
Japan-日本語
EU-English
Poland-Polski
USA-English
便携式彩色多普勒超声诊断仪
基于云端的便携式PAD显示、微主机超声系统
P3便携式彩色多普勒
图像表现
技术特点
P3 便携式彩色多普勒诊断系统
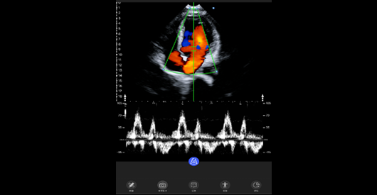
P3 便携式彩色多普勒诊断系统主要应用场景:心脏。典型应用于:心脏长轴、心脏四腔心、心脏左心室血流频谱。
技术核心
同价位品质优秀 • 配置 64信号通道、64阵元基数探头、图像品质在同价位产品中竞争力明显。
同品质重量较 • 主机产品重量约1200g、重新定义便携超的便携性。
丰富的探头可选 • 低配推荐(线、凸)两支探头; 中配推荐(线、凸、心、高频)四支探头; 高配推荐五支探头全配。
持续的产品续航 • ⽀持Type-C 直流供电模式24小时全天候续航使用,内置6000mAh电池 2小时无电源续航使用模式。
轻松的消毒灭菌 • 探头支持IPX7 防水等级,支持浸泡法或擦拭法消毒灭菌,支持无菌套透声使⽤。
免费的远程医疗 • 独家3-Channel通讯技术,免费支持的5G远程异步问诊或同步问诊服务
AI的⾼级功能 •面向临床超声应用,拥有多项人工智能AI技术
图像表现
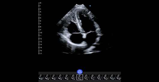
心脏长轴
探头类型:相控阵探头。典型场景:心脏。
心脏四腔心
阵元基数:64。信号通道:64。
心脏左心室血流频谱
中心频率:3.6 MHz。带宽范围:2-5MHz。
动静脉自动识别与量化分析AI人工智能技术
临床价值
在PICC 等置管场景中,帮助临床工作者, 快速定位动静脉血管,方便确认置管操作。
对静脉高压的病患,可以对完整心动周期下,静脉血管周期性变化进行静脉压评估。
对动脉血流量,在完整心动周期中,实时跟踪流量变化(面积与流速),进行血流流量评估。
血管斑块自动识别的AI人工智能技术
临床价值
通过AI人工智能技术自动识别血管斑块的存在,有助于基层普筛过程中,防止低回声以及等回声斑块的漏筛问题,帮助临床经验相对薄弱的基层医护工作人员,可以判定血管斑块的存在性。
产品与服务
HIS
EMR
LIS
PACS
集成平台
医共体
专业应用系统
公司
关于
招贤纳士
新闻
留言
法律
访问声明
道德合规
个人信息保护政策
使用条款
联系
上海市闵行区申虹路1088弄南区17号楼五层
TEL:400-867-5208
TEL:+86(21)5988 2099
Copyright © 2023 上海超星医疗科技有限公司 版权所有 |
沪ICP备2024049098号-1