China-中文
首页
关于超星
关于超星
产品与服务
放射设备
立位CT 128 Standing
X射线计算机断层扫描系统
诊断X射线成像系统
超声设备
台式彩色多普勒超声诊断系统
便携式彩色多普勒超声
掌上超声
宠物设备
宠物 CT
宠物 超声
宠物 DR
医疗信息化解决方案
智慧医院
医共体平台
集团化医院
新闻与资讯
超星发布
客户故事
活动中心
星门创新
前瞻探索
科技匠心
招贤纳士
社会招聘
校园招聘
联系我们
China-中文
Global-English
China-中文
Japan-日本語
EU-English
Poland-Polski
USA-English
C3 便携式彩色多普勒超声
C3 便携式彩色多普勒超声诊断系统,基于PAD展示及微主机平台,可更换探头,主要定位于基层医疗和社区卫生服务中心的筛查和康复工作
C3 便携式彩色多普勒诊断仪
图像表现
技术特点
C3 便携式彩色多普勒
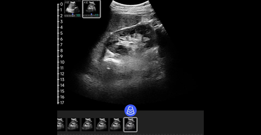
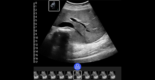
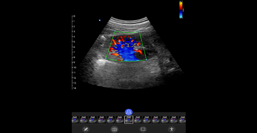
C3 主要应用场景:肝胆胰脾肾。典型应用于:肾脏、肝脏、肾脏血流。
技术核心
同价位品质最优 • 配置 64信号通道、128阵元基数探头、图像品质在同价位产品中竞争力明显。
同品质重量最轻 • 主机产品重量约1200g、重新定义便携超的便携性。
丰富的探头可选 • 低配推荐(线、凸)两⽀探头; 中配推荐(线、凸、心、高频)四⽀探头; 高配推荐 五支探头全配。
持续的产品续航 • 支持Type-C 直流供电模式24小时全天候续航使用,内置6000mAh电池 2小时无电源续航使用模式。
轻松的消毒灭菌 • 探头支持IPX7 防水等级,支持浸泡法或擦拭法 消毒灭菌,支持无菌套透声使用。
免费的远程医疗 • 独家3-Channel 通讯技术,免费支持的5G远程异步问诊或同步问诊服务
AI的⾼级功能 •面向临床超声应用,拥有多项人工智能AI技术
图像表现
肾脏
探头类型:凸阵探头。典型场景:肝胆胰脾肾。
肝脏
阵元基数:128。信号通道:64。
肾脏血流
中⼼频率:3.6 MHz。带宽范围:2-5MHz。
心血管壁垒技术-心血指标自动量化与评估AI技术
技术特点
心血指标自动量化与评估AI技术,可以准确快速的对13组心血临床指标,进行实时自动量化,并获得13组参数的均值,波动评估值等共计34个评估参数,在大量病例的学习辅助下,有效摒弃的传统人工测量导致的人工引入误差与经验依赖,可快速并全面的评价心血管疾病的存在与严重程度,为心血管慢病的筛查与管理提供重要的辅助量化支持。这将有效缓解对超声医师的技能与经验依赖。
心血管壁垒技术-IMT实时识别与量化AI技术
技术特点
IMT实时识别与量化AI技术,对连续扫查过程中的实时IMT都将纳入AI识别的范畴,从而不漏筛可能的内膜增厚位置。准确性高:相比传统只进行单帧的IMT测量评估,本技术将对Cloop中全部的IMT进行自动测量,并得出最大的厚度位置,从而摒弃传统测量值偏低的因素。评估准确:本技术依据病患性别、年龄、左右叶信息充分评估当前指标的增厚可能性,缓解了对超声医师的经验依赖。
产品与服务
HIS
EMR
LIS
PACS
集成平台
医共体
专业应用系统
公司
关于
招贤纳士
新闻
留言
法律
访问声明
道德合规
个人信息保护政策
使用条款
联系
上海市闵行区申虹路1088弄南区17号楼五层
TEL:400-867-5208
TEL:+86(21)5988 2099
Copyright © 2023 上海超星医疗科技有限公司 版权所有 |
沪ICP备2024049098号-1