China-中文
首页
关于超星
关于超星
产品与服务
全系列台式超声彩色多普勒诊断仪
Insight 37C 彩色多普勒超声
全系列便携超声彩色多普勒诊断仪
Cloud系列云超
全系列掌上超声彩色多普勒诊断仪
Lite 系列掌超
BVS 超声膀胱容积测量仪
BVS系列膀胱容积测量仪
新闻与资讯
超星发布
客户故事
活动中心
星门创新
科技匠心
招贤纳士
社会招聘
校园招聘
联系我们
China-中文
Global-English
China-中文
Japan-日本語
EU-English
Poland-Polski
USA-English
健康监测与管理
智能 AI 诊断皮下脂肪含量
个性化健康管理
提高检测效率和准确性
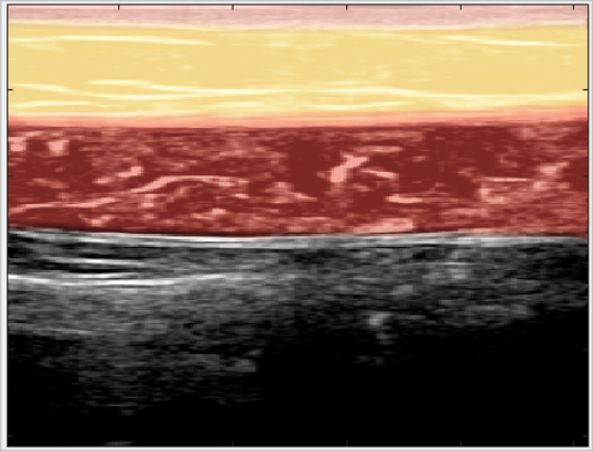
超声智能皮下脂肪含量检测
定量+AI
皮下脂肪含量
定义 SAT 的直线上边界(皮肤—脂肪层)和二次曲线下边界(脂肪—肌肉层)
提高检测效率和准确性
成像
从二维规化图像,建立 CNN 回归模型以决定 SAT 的上边界和下边界
皮下脂肪含量
皮下脂肪含量(Subcutaneous Adipose Tissue,SAT)是体脂肪测试的重要指标, 而腹部 SAT 的厚度对于健康和体能有重大影响
产品与服务
HIS
EMR
LIS
PACS
集成平台
医共体
专业应用系统
公司
关于
招贤纳士
新闻
留言
法律
访问声明
道德合规
个人信息保护政策
使用条款
联系
上海市青浦区诸光路1588弄虹桥世界中心LIA二层
TEL:400-867-5208
TEL:+86(21)5988 2099
Copyright © 2023 上海超星软件科技有限公司 版权所有 |
沪ICP备2024049098号-1