业界现有低帧率、浅表层弹性成像
基于GPU平台的弹性成像提供了更快速、更准确、更高效的组织硬度诊断信息,不仅是甲状腺、乳腺等浅表层肿瘤诊断的最佳选择,也可拓展到较深组织或器官的临床肿瘤检测。
Freehand elasticity imaging: 徒手弹性成像(FEI)
    • 徒手弹性成像是通过移动探头对检测部位进行挤压使组织产生运动,并利用回波信号进行运动检测得到表征组织弹性的应变图像
    • 基于应力的弹性应变成像,提供组织软、硬病变的诊断信息
    • 业界最高帧率 50fps vs 20fps
    • 业界最大检测区域—全器官检测
声辐射力弹性成像(ARFI)
Acoustic Radiation Force Imaging: 声辐射力(ARFI)
声能弹性成像也可检测人体组织的软损伤,如早期肌腱拉伤的组织水肿检测,开辟了超声在运动医学领域的研究先河
弹性成像
基于声能 (ARFI)和剪切波波速的实时弹性成像,提供组织软、硬病变的定量评价。
先进技术

通过自动发射一定能量的声波通过声辐射力直接对所需要检测部位进行激励,用于激励的声波犹如无形的手直接去推动组织产生运动,从而得到表征组织弹性的图像,这种新兴弹性成像技术可以得到更精确的组织应变图像。

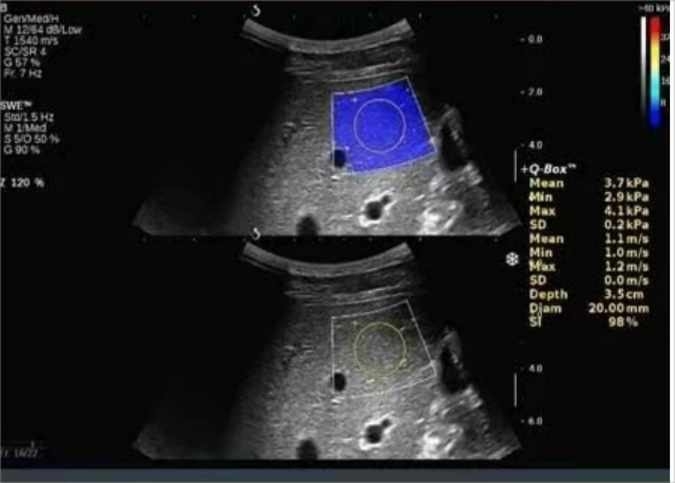
shear wave imaging:剪切波成像技术(SWI)
  • 基于ARFI技术
    基于ARFI技术衍生的超声剪切波成像,通过调整脉冲激励方式,根据水平方向多个点的位移-时间曲线估算横向传播的剪切波波速,然后利用剪切波传播特性与生物组织弹性特征之间的内在联系,最终定量重构组织的弹性模量以形成二维的图像。
  • 技术创新
    这一技术克服了声辐射力作用域有限而传统徒手弹性成像无法定量的不足,能定量的观察出更深全域组织部位的病变状况,拓展了探测深度,为临床应用提供更准确的参数指标。
定量弹性成像
  • 超星创新
    SUPSTAR率先提出了将剪切波速测量与徒手弹性成像和声辐射力成像相融合的新型超声定量弹性成像技术。该技术是在定量测量组织局部区域的剪切波波速的基础上,根据不同区域剪切波波速的测量值,波速与组织杨氏模量之间的物理对应关系,以及不同成像模式之间的映射关系,实现定量的徒手弹性成像与声辐射力弹性成像。